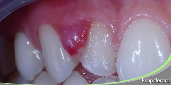
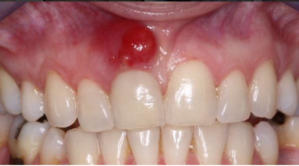
I. Hola Ángel, por mí parte sólo conozco un cuadro llamado fibroma que no se ajusta por completo a lo que le ocurre, y también una alteración del tejido conocida como fistula o absceso, con este aspecto,


En esta página el problema ha sido tratado con anterioridad e incluso una serie de expertas y expertos propusieron pruebas o analíticas para su tratamiento, por favor trate de revisar los enlaces cuando le sea posible
Fistula en la encía que no se va
Absceso dental con muela extraída
Recuerdo que varios profesionales del ámbito de nuevo y en distintas direcciones aportaron notable información y consejos. Partiendo de que, como bien pensó, pudiera padecer una periodontítis más o menos avanzada, pienso quizás debería dirigirse a un médico periodoncista, en vez de a un dentista convencional o a un cirujano dental. Estas fueron las palabras del experto Paravalle.

A su vez, dentro de mi ignorancia, puede tratarse de un problema de encía a causa de una falta de hierro y vitaminas en su dieta habitual, esto es valorable mediante un análisis completo de sangre.
Lamento no saber más, a la espera de que le atienda un experto, deseaba trasladarle la poca información sobre esta situación que ví por si pudiese aportarle alguna utilidad. Le ruego me disculpe la imprecisión y todas las molestias de lectura, mucho ánimo.
Inflamación de encía superior
Piorrea en una dentadura que parece normal
Piorrea
Consejos contra la Piorrea
Tengo un diente flojo, tratamiento para endurecerlo o extracción de pieza definitiva
Ayuda con un diente flojo
Tengo diente flojo
Enfermedad periodontal después de operarse.