Es de hace 2 días, es como pliego desde la misma boca que sobresale con textura diferente, me duele al tocarlo y al comer
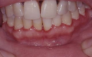
Es por la parte de la boca, me duele al tocarlo y al comer, es como un pliego de la misma superficie que sobresale y tiene una textura diferente, y parece que tiene como una bolita de pus, ¿saben qué podría ser? Y que especialista tengo que acudir para revisión o si es grave a lo que se ve, adjunto foto de una lado donde no lo tengo y el otro donde se ve esto



2 respuestas
Respuesta de david ..
1
Respuesta



