Un hoyo en la extracción de la muela del juicio
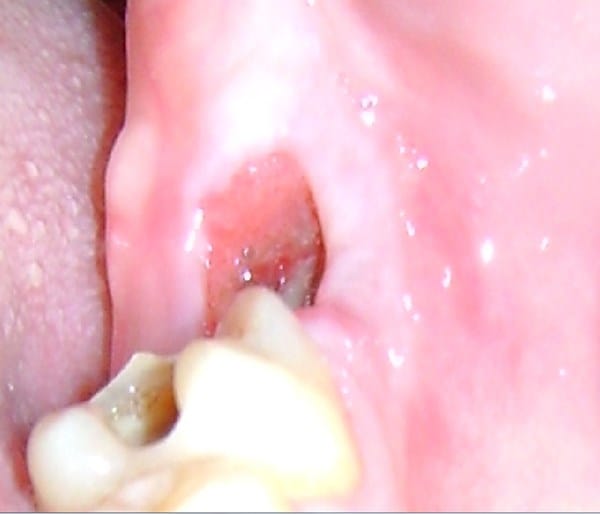
Hace 3 días fui a que me sacarn las muelas del juicio las de abajo, estas ya estabas brotadas solo había un pedasito de ensia que me molestaba por eso me las quite pero la doctora no me suturo el nada. ¿Desde qué me las quito me ha quedado un hoyo y en el una baba blanca fui con otro dentista y me dijo que debió de haberme suturado solo me reseto antibiótico ese hoyo cerrara? También me provoca un mal olor. No se que hacer
3 respuestas
Respuesta de mercedes tp
2
Respuesta de david ..
Respuesta de Yeleni Ortiz






Hola... Ese mismo hueco tengo yo y estoy aterrada. Quiero saber si se te cerro solo? - Amarezka Baltodano
Amarezka Baltodano Hola yo también tengo ese hueco, ¿se te cerro solo? Como limpiabas la comida que se te media dentreo, ayuda! - Erika MB
Hola, buenos días. Llevo dos semanas desde que se me realizó una operación de cordal, fue muy dolorosa, se me inflamó la cara 1 semana y media y hasta hace poco la ando más normalizada. Me quedo una pelotita a nivel de la mandíbula, dice mi odontólogo que puede ser daño de tejido. No había querido revisar la herida por qué tenía miedo, me dijeron que tenía infección en la encilla, 1 semana más con antibióticos. He terminado el tratamiento y me ha dicho que todo va bien, me he revisado y tengo el mismo hueco y algo blanco. Estoy asustada, tengo miedo. ¿ Que puede ser ? Soy de comer mucho arroz y me da miedo que de vaya por ahí. O que se haya ido alguno. No era consciente de tenerlo. - sayaris García
Hola, ¿Al fin sí te cicatrizó y en cuánto tiempo?... Ayuda por favor, me pasa lo mismo. - Javier Velásquez
Me pasa lo mismo como les fue como se limpiaban ese orificio ? Ya les cicatrizo??? Ayuda - Camila Fernanda inostroza muñoz