Pueden las cordales producir adenopatías cervicales?
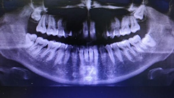
Soy una mujer de 47 años, en Junio de este año, con una cordal inferior derecha a medio salir, empecé con unos dolores insoportables en ambas encías derechas inferior y superior, oído derecho, incluso en la cordal superior derecha, tenía también el ganglio derecho del cuello inflamado. Fui a urgencias y me hicieron la placa que adjunto y me recetaron antibióticos y anti inflamatorios para una semana y se me fueron las molestias.
A principios de Septiembre, de nuevo tuve dolor durante una semana, repitiéndose los mismos síntomas. Como siempre voy a tope de trabajo, tomé analgésicos y de nuevo lo dejé pasar. Unas 2 semanas después, sin dolor en las cordales, empecé a notar el ganglio derecho, justo el de debajo de la cordal inferior derecha muy inflamado, sin dolor agudo pero molesto, pero tan grande que si inclinaba la cabeza hacia adelante tenía la sensación de que me dificultaba la respiración y era inquietante. En 2 días tenía que coger un avión y permanecer 10 días fuera. Al llegar a mi destino tuve que ir a urgencias, pues notaba el ganglio creciendo sin parar y me preocupé mucho. En urgencias, al comentar las molestias de las cordales, la doctora de urgencias, solo mediante una palpación, me pincha Urbason 60 y me receta Clamoxyl 750gr, Dolovoltaren, Nolotil y Omeoprazol, diagnosticándome un flemón de garganta, sin más pruebas. Refuerzan esa medicación para 10 días, diciendo que a la vuelta de mi viaje visite un cirujano maxilofacial. Durante los 10 días el ganglio no desaparece, la medicación mejora algo los síntomas, pero no funciona.
Al volver de mi viaje, después de bajar del avión, me puse mucho peor, notaba el ganglio gigante, mucho dolor de cabeza, oído y cuello agarrotado. Las cordales no me dolían, comía y masticaba perfectamente. Pero el ganglio me daba la sensación de obstruirme la garganta. De nuevo a urgencias, les informo de la medicación que estaba tomando y de los antecedentes de los síntomas.
El 4 de Octubre en Quirón Tenerife me tuvieron en observación 12h. En una analítica de sangre los leucocitos me salen normales. Lo primero que me dicen es que lo del flemón NO les consta, que no les cuadra. Me pinchan urbason 60. Ceftriaxona 1 gr. Paracetamol 1 gr. Y a las 6 horas me revisa un otorrrinolaringólogo que desde la nariz mete cámara hasta la garganta y no detecta flemón ni nada raro. Por lo que dice que nunca hubo flemón y SI detecta adenopatías cervicales en ganglio cervical derecho. Me manda un TAC cuello contraste y una ecografia PAAF cervical. ME PROHÍBE tomar más antibióticos y retira medicación actual. Me receta tomar Omeoprazol y Ibuprofeno 600 hasta la realización de las pruebas si tengo dolor. Le insisto en el problema de las cordales y él me dice con seguridad que el ganglio no tiene nada que ver con ningún problema dental.
Acudo al día siguiente 5 octubre miércoles a un cirujano maxilofacial y le explico todo el caso. El cirujano considera que ninguno de los médicos que me ha visitado ha acertado. No entiende como nada más llegar a urgencias siempre te pinchan un corticoide tengas lo que tengas y te hinchan a antibióticos. Considera que lo más apropiado hubiera sido remitirme con urgencia a un cirujano maxilofacial y buscar el "motivo" no enmascararlo. Pues él ahora no puede observar nada en mi organismo con tanta medicación anterior. Este viernes 7 de Octubre me ha extraído la cordal inferior derecha, y me ha recomendado que extraiga las otras 3 cordales, pues están impactadas. No quería darme medicación, pues dice que tengo antibióticos en el organismo para un tiempo. Pero preocupada por lo del ganglio, le comenté que no quería complicaciones tras la cirugía. Consintió que tomara Dalalcin 300gr, uno antes de la operación, y otros 3 (uno cada 8h) y algún ibuprofeno solo la noche y al día siguiente de la operación. A partir del domingo nada de nada, y me visitará mañana lunes al mediodía para ver qué tal voy. Dentro de 10 días me quita los puntos.
El post operatorio ha ido muy bien, porque estuve pegada a una bolsa de hielo 12h. No he tenido apenas inflamación y el dolor hasta ahora ha sido soportable, latidos, pinchacitos, dolor leve. Me estoy enjuagando despacito con agua y sal desde hoy domingo. Si me ha dolido más es el ganglio, desde hoy domingo, sin ya nada de medicación, noto que vuelve a inflamarse más, y me duele el oído, la cabeza, todo el lado derecho en general. Esta noche también me duele más la zona de la operación, dientes adyacentes y encía, pero caro sin nada nada para el dolor, debe ser normal. Al tragar noto que de la zona de la cordal extraída trago líquido con un sabor MUY amargo, no sale sangre ni está muy inflamado. He visto un punto blanco en la encía de esa parte. Me preocupa mucho el hecho de no estar tomando nada de antibióticos, pues a todo el mundo le recetan unos días más.
El cirujano maxilofacial opina que en un 80% la inflación del ganglio vienen de estos problemas dentales. Al extraer la cordal la zona tenía restos de anteriores inflamaciones. Él espera que, al extraer esta cordal, ya notemos que el ganglio vuelve a la normalidad, aunque ve que hay que extraer pronto la cordal superior derecha también y dice que en la radiografía se ve una pequeña fístula entre los molares de la parte superior derecha, que hay que revisar. Según el, el TAC no revelará mucho acerca del ganglio pues es tejido blando. Pero dice que me lo haga, por supuesto.
- ¿No sería recomendable haber tomado antibióticos unos días seguidos después de la intervención? ¿Este líquido amargo que trago me parece que indica inicio de infección?
- ¿Las adenopatías cervicales pueden estar causadas por estos problemas dentales? Esta adenopatía del ganglio derecho empezó con las molestias de las cordales, no antes.
El día 20 de Septiembre tengo el TAC cervical. Y después la Biopsia. ¿Pueden darme una valoración del caso? La radiografía es de JUNIO, antes de extraerme la cordal inferior derecha.
Muchas gracias! Estoy muy preocupada.



