I. Hola Andrea, disculpe, ¿puede decirnos de qué pieza dental se trata?,
Pienso que aparenta ser un pequeña caries, como bien nos describe, acompañada de una línea de fractura, en mi gran ignorancia, puede ser importante acudir al dentista para intentar determinar su ubicación concreta y como aspecto más importante, el grado de afectación de la línea/fisura, algo que por nuestra propia cuenta es dificil de precisar o evaluar.
Algunas de esta fracturas, llamadas tambien por los médicos 'líneas de fisura', son superficiales y normalmente no necesitan un tratamiento específico,. Otras, sin embargo, sí se extienden hasta la parte inferior de la encía, alcanzando la parte más interna del diente (raiz), y por desgracia normalmente es necesario retirar la pieza,

No tiene porqué ser su caso, pero existe un porcentaje de posibilidades. Hoy día esto no representa problema llegada la situación, porque es posible realizar un implante con unas garantías de funcionalidad del diente y estética muy elevadas, a un precio módico.
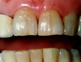
Aquí podemos ver otro ejemplo en los incisivos centrales,

Cuando la fisura no es demasiado profunda, o como hemos visto no llega a afectar a la base del diente, existen una serie de opciones de reparación que podemos analizar, siendo la corona la solución más clásica y a veces tambien más eficaz. La elección siempre deberá hacerla el especialista.
ADHESIVOS DENTALES
Un dentista puede hacer algunos procedimientos para reparar su diente frontal. El adhesivo dental, por ejemplo, normalmente abarca el uso de una resina compuesta –la cual se prepara para que se parezca al color natural de su diente– para sellar o llenar la fisura. En comparación con otros métodos de tratamiento de dientes agrietados, este es el más barato y requiere el menor número de visitas al dentista. Aunque su dentista sea capaz de reparar su diente mediante aplicación de un adhesivo dental en una sola visita, el material no es, sin embargo, tan fuerte como los demás. Su fragilidad hace que sea el más adecuado para los dientes sobre los que no se ejerce mucha presión durante la mordida, como los dientes frontales.
CORONA
Si la fisura es larga o profunda, pero no alcanza a la raíz o la parte inferior de la encía, una corona puede ser preferible al adhesivo. Las coronas normalmente se fabrican en porcelana y actúan como una cubierta para el diente dañado, permitiendo su restauración o incluso la mejora de su forma. Su dentista puede recomendarle aplicar una corona sobre el diente frontal en caso de que no haya diente suficiente para usar el adhesivo dental. Usted necesitará quedarse un poco más de tiempo en la silla de su dentista para que le ponga una corona para reparar el diente frontal agrietado y probablemente realizará varias visitas. Sin embargo, dado que la corona es más duradera que el adhesivo, usted puede esperar que dure más tomando los cuidados domésticos adecuados.
TRATAMIENTO DE CONDUCTO RADICULAR
Algunas fisuras afectan no solo la parte externa del diente, sino también su parte interna. Si la fisura es lo suficientemente profunda como para alcanzar la pulpa dental, que se encuentra debajo de las camadas de esmalte y dentina, usted podrá necesitar un tratamiento de conducto radicular para tratar la pulpa inflamada y salvar su diente. Cuando se realiza un tratamiento de conducto para tratar un diente fracturado, el dentista cubre en seguida el diente tratado con una corona. Aunque la idea suene intimidatoria, la American Association of Endodontists (AAE) afirma que el procedimiento es similar a la obturación. Actualmente es relativamente confortable.
IMPLANTES
No se puede tratar un diente fracturado una vez que la fisura llegue debajo de la encía, de acuerdo con la asociación AAE. Eso significa que su dentista necesitará extraer el diente, pero no significa que usted se irá con un agujero en la boca; un cirujano dentista podrá poner un implante en el hueso maxilar para sustituir la raíz del diente. Se cubre este implante con una corona, de modo que se parezca lo más posible a su diente original.
No importa cómo usted y su dentista decidan tratar un diente frontal fracturado, es importante cuidarlo después del tratamiento. Cepillarlo dos veces al día con una crema dental con flúor, (como Lácer o Signal), protegerá su diente restaurado contra las caries. También es recomendable consultar regularmente a su dentista para garantizar que el adhesivo dental, la corona o el implante permanezcan en buena forma.
La sugerencia que podemos darle desde aquí, en principio es que acuda a su dentista para tener una valoración profesional, así en caso de ser necesaria una atención inmediata, impediría que el daño del diente vaya a más.
Tambien si lo desea puede subir una captura del diente para que podamos verla y valorarla, sólo debe pulsar sobre el icono señalado en el círculo rojo, y seleccionar la imagen de su disco duro,
Mucho ánimo.