I. Hola, creo que podría tratarse de que la raíz de uno de sus dientes está manteniendo una infección leve durante un tiempo, que finalmente se ha enquistado (solidificado y endurecido),
Puede confirmar esta posibilidad en su odontólogo habitual, y solicitar una radiografía que arroje luz sobre el estado de las piezas dentales.
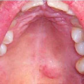
- Lesión benigna conocida como adenoma


- Torus palatino: De origen desconocido y mostrando un aspecto muy similar al cuadro anterior, consiste en una masa ósea que aparece en la línea media del paladar duro, evoluciona con un crecimiento lento y se cree que pueda tener factores genéticos


- Obstrucción o tumor benigno de una glándula salival o bien producido en la bóveda palatina.
Un absceso (acumulación de pus por sobreinfeccion bacteriana, hongos). Que con el tiempo se secó y de esa forma quedó enquistado.
El diagnostico pienso debería hacerse en principio a través de un buen examen físico, observación y si es necesario biopsia (la toma de una pequeña muestra de la masa) para tener el origen correcto y dar el tratamiento indicado. Si se trata de cualquiera de estos cuadros anteriores que hemos visto, cabe la posibilidad de que sea necesario extirparlo mediante una sencilla cirugía, pero también existen productos para tratar estos casos.
Los médicos proponen acudir a un medico o cirujano maxilofacial para una evaluación correcta que no deje lugar a dudas.
Si desea subir una imagen de la zona puede hacerlo pulsando sobre el botón señalado en rojo, y pinchando sobre el archivo de imagen que desee subir desde su disco duro. De esta forma un experto podría atenderle de manera más correcta porque no conozco bien el tema.

Un compañero aportó lo siguiente, creo que no se ciñe por completo a la realidad de su caso, pero tal vez sea de ayuda. Suerte y animo.
**Lo que usted me manifiesta no es para preocuparse ni para dejarlo de lado yo como profesional le recomiendo que usted acuda a un odontólogo para que le realice una biopsia o cultivo y obtenga una muestra del tejido de esa lesión o bolitas que usted presenta pues esta es la única manera en que el profesional le puede dar un diagnostico certero y una correcta medicación; no se auto medique que puede comprometer su salud; las lesiones que usted me manifiesta, aunque en principio no se trataría de este cuadro, podría ser una lesión cancerígena pues estas no manifiestan ningún síntoma y es más si usted fuma con más razón acuda inmediatamente a un odontólogo pues mi misión no es asustarlo, sino es la de prevenir porque un cáncer en etapa inicial o intermedia es perfectamente curable.**