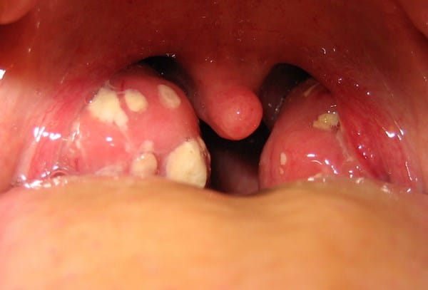
Inflamación de las encías y molestias en el paladar, bolitas blancas en la garganta
Doctor, que tal necesito su opinión por favor estoy desesperado, hace 7 meses tuve una infección muy fuerte en la boca con ulceras e inflamación de los ganglios y fiebre varios días y una lesión en el paladar que no podía comer, fui al doctor y me dieron antibióticos y medicina para los hongos y se me alivio, pero de ahí paa adelante me siguen saliendo úlceras pequeñas y se me quitan y tengo comezón en la garganta y se me inflaman las encías y se me alivia y se vuelven a inflamar y no se me quita al cien por ciento, aparte tengo dos bolitas blancas y no se me quitan en la garganta, por favor necesito que me ayude con su opinión
1 Respuesta
Respuesta de david ..


