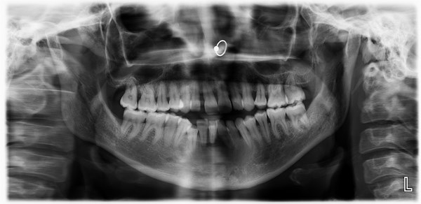
Tengo periodontitis en el incisivo inf. Y el hueso no lo sostiene. Extraigo el diente?
Parece que se sujeta el diente solo por las encías que van en retroceso y la masa osea no sujeta el incisivo. ¿He de quitarme el diente? No tengo ninguna infección en la raíz, sí mala oclusión y burxismo. El dentista me recomienda sacarlo, esperar que regenere el hueso para poner un implante y de mientras ponerme uno temporal removible. ¿No se puede conservar el diente y implantar hueso del maxilar?
1 respuesta
Respuesta


