Boti Auditore

Boti Auditore

 5.515 puntos  España @botiauditore desde - visto
Preguntar

Preguntas

Pregunta en y en 3 temas más

Mi inquilino dice que no se tiene que ir

Tengo un inquilino que dice que a pesar de que nuestro contrato termine en el día 15 de agosto de este año, ¿Fue a un abogado de la oficina de consumo y le dice que podría seguir hasta 5 años más si el quiere como es posible si es contrato dice bien...
Pregunta en y en 2 temas más

Recibos devueltos de mi inquilino

Resulta que me llama la empresa que administración la comunidad del edificio diciendo que tengo pendientes unos recibos y yo le dije que yo pago religiosamente las cuotas de comunidad y garaje, IBI etc... Y resulta que los 160 euros son de varios...
Pregunta en y en 2 temas más

Quiero denunciar a mi seguro puedo?

Me envían un email de otra persona con su nombre dni número de póliza etc diciendo que ya habían tramitado su baja de seguro de fallecimiento ¿Con ese email a mi correo no están vulnerando la ley de protección de datos? Ya empiezo a tener miedo de...
Pregunta en y en 3 temas más

Guerra abierta con mi seguro

Seguros caser, siempre todo bien, tengo 5 seguros con ellos hasta que un día quise meter uno más (un coche) y sin dar explicaciones me decían que no, que pitaba no se qué cosa y que no me lo iban a hacer ni poniendo a mi padre como conductor ni nada...
Pregunta en y en 4 temas más

Podria ser la causa de mi exceso de presion?

Como se ve en la imagen, ese tubo impide que mi llave se abra del todo, todas estan a 90 grados y la mia debe estar a 80 o 85 como mucho esa instalacion pertenece a los cuadros de contadores del agua del edificio, esta en el portal, el otro dia...
Pregunta en y en 4 temas más

¿Tengo derecho a algún tipo se compensación o indemnización?

Ayer cambiaron las tuberías del cuadro de contadores del agua (fue ilegal porque anunciaron el corte de agua con 8 horas de antelación cuando lo mínimo es 24) el tema es que después de la obra el termo me pierde agua (gotea la válvula de seguridad)...
Pregunta en y en 4 temas más

Me pueden cobrar una derrama de una decisión anterior a mi adquisición del piso?

Antes de ser yo propietario de un edificio se tomó una terrible decisión de no cambiar las tuberías pluviales y fecales (por temas de sobrecostes) y ahora que rompieron, el seguro de la empresa obra del ascensor ni el de la comunidad hacen caso por...
Pregunta en y en 4 temas más

Los Champús de los hoteles son buenos?

Supongo que en teoría deben de ser bastante malos por razones obvias, el tema es que siempre que me lavo la cabeza con el champú de un hotel, aunque al principio sí veo que me deja el pelo súper seco, después a lo largo del día el pelo luce súper...
Pregunta en y en 3 temas más

Recibo de electricidad que no es mío

Iberdrola me hace pagar, hoy, 82 euros de un recibo de luz de una inquilina que se fue el 31 agosto de éste año, yo ya le devolví la fianza evidentemente, pero al llamar a Iberdrola resulta que la señora devolvió el último recibo de luz, y como el...
Pregunta en y en 2 temas más

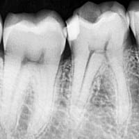
¿Necesitare empaste, endodoncia o algo diferente?

Tengo el diagnostico de mi dentista, pero me gustaría tener otras opiniones Decir que: no siento nada ni al frio ni al calor, ni al cepillarme los dientes, me duele solo al morder algo duro, como por ejemplo carne de ternera, aunque hoy me dio golpes...