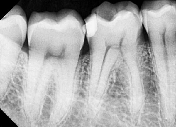
¿Necesitare empaste, endodoncia o algo diferente?
Tengo el diagnostico de mi dentista, pero me gustaría tener otras opiniones
Decir que: no siento nada ni al frio ni al calor, ni al cepillarme los dientes, me duele solo al morder algo duro, como por ejemplo carne de ternera, aunque hoy me dio golpes en todas las muelas y me dolía en dos de ellas también
Llevo tres días con estas molestias, si no como nada, no siento nada y cuando como chicle, se me queda como pegado en una muela de abajo

2 respuestas
Respuesta de david ..
2
Respuesta
2

