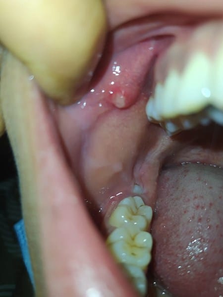
Hace unos días me salio una protuberancia que duele un poco en la mejilla quisiera saber que desde otro punto de vista
Tengo dos protuberancias iguales de los dos lados solo que la de el lado derecho esta inflamada y me duele eh leido y las protuberancias pueden ser el conducto de stenon es verdad? Y me gustaria saber porque una esta inflamada y duele

3 Respuestas
Respuesta
2
Respuesta de david ..
Respuesta de Droc Baa




Me pasa igual amigo que el de la foto - Droc Baa