¿Soluciones trapecio mano rotado (Hipoplasia Pulgar)?
expert@s,
Me comunico con todos vosotros, ya que después de mis 2 visitas en el mismo hospital general (publico y con prestigio), nunca me dieron una solución, al menos para mi, del todo satisfactoria.
Primera vez en 2013, re-miraron, y hasta tomaron fotos por la particularidad, pero ninguna solución. Y esta ultima reciente, y con un Doctor especialista de la mano, que la única opción factible (¿Y menos arriesgada?) Es que si en un futuro el dolor se intensificava, se podría fijar el metacarpiano con el trapecio, limitando aun más la movilidad, pero en principio eliminando o reduciendo el dolor.
Me afecta sobretodo la mano derecha, que tengo peor, digamos que un 65% tema funcionalidad/fuerza, y el otro 35% tema dolor (leve), sobretodo al hacer cualquier actividad que requiera pinza, o pinza + fuerza. Llevo toda la vida más o menos adaptado y aceptándolo, lo que en los ultimo años si he notado algo más de dolor. La limitación sigue siendo prácticamente la misma, pero desearía poder realizar cualquier actividad sin estar siempre tan limitado.
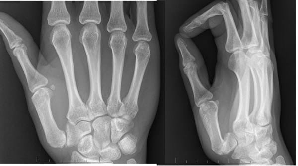
Les adjunto 2 radiografías actuales.
Y yo me pregunto, desde mi total ignorancia en la materia: ¿No se podría colocar el trapecio en una posición correcta? O bien, ¿sustituirlo completamente por una protestis?
Por ahora descarto opción artrodesis T-MCP, a la espera de una 2ª opinión profesional. Vuestras respuestas también me ayudan a resolver algunas dudas importantes, así que son de igual importancia.
Un cordial saludo
Muchas gracias!



