Es fractura o es un esguince?
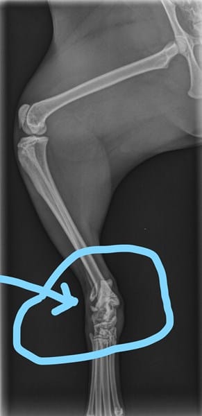
Esta es la radiografia de la pata derecha de mi gata. Solo se aprecia un pequeño huesito que se ve suelto. En la consulta nocturna que la lleve de emergencia solo le mandaron medicamentos pero ni la vendaron ni la enyesaron ni nada. Lo cual me deja la duda de si es una fractura o un esguince y si fue una mala praxis del veterinario en no inmobilizarle la pata para que sanara mejor

1 respuesta
Respuesta de Axel CC