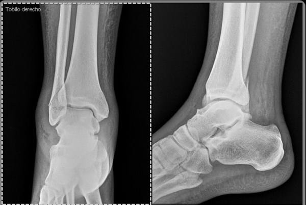
¿Qué opinan de mi fractura peroné?

Me quebré el día 20 de julio en una caída me dijeron que verán si se logra pegar el hueso con yeso o sino tendré que hacer cirugía. ¿Qué opinan?

1 respuesta

Respuesta
1

I. Hola Ezequiel, por mi parte no logré encontrar información ni tengo conocimientos concretos sobre este ámbito, pero ya que no recibió respuestas quisiera trasladar su consulta a varios expertos por si pudiesen atenderle, son

Eduardo Reddragon

David Eutimio Belhadia Garcia

anavr

El Observador

Josu Diaz

Tambien quisiera dejarle una información sobre la rehabilitación (ejercicios) que podrían serle de utilidad,

https://dejandoletras.blogspot.com/2014/04/fractura-de-perone-como-volver-caminar.html 

https://www.muyfitness.com/ejercicios-rehabilitacion-fractura-info_11875/ 

Disculpe las molestias y siento no saber atenderle, suerte y mucho ánimo con la recuperación.

Añade tu respuesta

Haz clic para o

Más respuestas relacionadas