¿Se re absorbe un reborde alveolar con el tiempo tras extracción de muela del juicio?
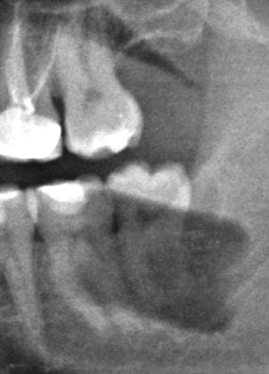
En Agosto me extrajeron la última muela del juicio (inferior derecha). Era la que mejor tenía y por eso se quedó para la última. No me molestaba en absoluto pero mi odontólogo me recomendó sacarla porque estaba totalmente rodeada de encía y hacía difícil su limpieza, riesgo de infecciones, etc. La extracción apenas duró 1 minuto y el odontólogo me comentó que estaba muy "agarrada" pero que todo fue bien. Pasaron los días y tenía mucho dolor que se irradiaba hacia el cuello. Me comentaron en la revisión que tenía una alveolitis y se terminó pasando a los 15-20 días. Tras esto y voy al meollo de la cuestión, me noté en la parte interior de la mandíbula como un bulto a la altura del alveolo de la muela extraída. Si pasas el dedo por la línea de la mandíbula interior, al llegar a ese punto se nota como un resalto en el hueso. No me produce un dolor enorme, pero sí una molestia continuada en esa zona, como si tuviera algo por dentro presionando la encía. Volví al dentista y me dijo que era el hueso de la mandíbula y que con casi toda seguridad se reabsorbería con el paso del tiempo, que no le diera importancia. Que en el caso de no re absorberse me abrirían la encía y lo pulirían sin problema para que la línea de la mandíbula volviera a estar lisa. Han pasado 6 meses y tras no ver progreso alguno y continuar con molestias constantes en la zona del bulto volví al odontólogo que comprobó que el agujero que había dejado la muela ya estaba cubierto completamente y me hizo una radiografía en la que se veía que todo estaba correcto, el hueso ya se había formado donde antes estaba la muela. Le pregunté si ese bulto lo había tenido siempre o me había salido a raíz de la extracción. Me explicó que a veces pasa en las extracciones que el hueso mandibular se puede astillar al hacer fuerza para la extracción, y que seguramente eso era lo que había pasado. Me propuso limar el hueso, creo que lo llamó “regularizar el reborde alveolar a nivel del 48”, pero esta vez me lo puso peor que 6 meses atrás donde parecía algo rutinario, me advirtieron que no era tan simple al pasar el nervio lingual por debajo, que había ciertos riesgos. Acepté con tal de quitarme esta molestia continua. La cirugía fue bien, pero han pasado 2 semanas y noto que sigo teniendo resalto a la altura del alveolo (menos que antes) y me sigue molestando. He ido a la revisión y me han dicho que es normal, que deje pasar tiempo y seguro que se regulariza sólo. Sobre todo me dicen que no me toque el resalto con la lengua, algo casi imposible, ya que se me va constantemente a ese punto, no puedo evitarlo. Empiezo a estar un poco angustiado y bastante nervioso. ¿Me recomendáis que siga esperando varios meses más a ver si mejora sólo tras esta última cirugía o deberían volver a abrir la encía y limar el hueso más? ¿Es verdad que el reborde alveolar o bulto que noto en la encía con el paso del tiempo irá desapareciendo?



