Mi hijo tiene un algodón en su muela hace 4 meses y no le realizan revisión en ella
Mi nombre es Nathalia y necesito ayuda sobre algo que me tiene muy preocupada.
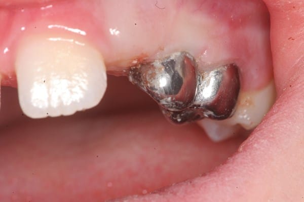
Mi hijo desde que le salieron los primeros dientes ha tenido problemas en ellos (caries, molestias).. Según los médicos por la cefalexina, ampicilina y otros que me suministraban en el embarazo y luego a el cuando nació amoxicilina.. Ha sido un martirio desde muy pequeño en el odontólogo... :'( pero lo que me preocupa comenzó hace poco mas de un año, me dijeron que tenia una caries grande en una muelita y que le debían hacer endodoncia o algo así, la cosa fue que le abrieron un hueco a la muela y le metieron un algodón con medicamento y se lo dejaron ahí como 2 meses mas o menos y el niño se quejaba constantemente pero la odontóloga decía que era normal pero le salio una bola grande en el colmillo del lado de la muela tratada la cual estaba llena de pus... Igual me seguían diciendo que no era nada grave y en la muela en esos dos meses no le hicieron revisión ni nada...
Luego este año en los primeros días de enero le volvieron a realizar lo mismo (hueco, algodón, medicamento) y lo volvieron a cerrar.. En este caso también sentía molestia y lloraba mucho, le volvió a salir la bola en el colmillo del lado pero ahora mas grande y a parte también le salio otra en la muela de atrás (la que sigue a la tratada).. Va para 4 meses con este algodón ahí dentro
¿Esto puede ocasionarle un problema mayor a mi hijo?
Mi hijo tiene 4 años..
Muchísimas gracias y estaré muy atenta a su respuesta, feliz día!






