I. Hola Pablo, podria tratarse de una descalcificación (odontocia).. incipiente pero que como apuntas continuaría progresando de no tomar medidas
http://www.asistenciadentalsocial.com/blog/descalcificacion-dientes/




.
(Copio/pego el texto de otra página),
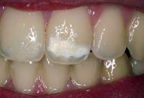
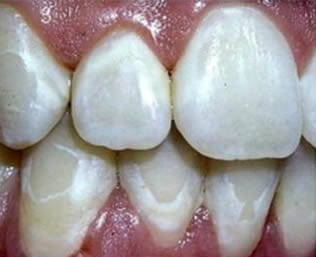
**La descalcificación o desmineralización dentaria se produce cuando los niveles de Ph bajan, es decir cuando el medio se torna ácido.
Las causas de un medio ácido pueden ser dietas ricas en azúcares puesto que las bacterias al metabolizar la sacarosa producen un desecho: el ácido láctico.
Este se acumula sobre el esmalte y poco a poco los cristales de hidroxiapatita (del esmalte) van precipitando.
Si el proceso continúa aparece la famosa mancha blanca (periodo inicial de caries) que es reversible si mejora la dieta e higiene y se remineraliza al convertirse en mancha marrón.
De lo contrario el proceso sigue curso hasta que se cavita y poco a poco las bacterias penetran en la estructura dental desmineralizando mas el tejido una vez que se hallan en la dentina.
En este caso solo el odontólogo podrá controlar el proceso y sellar con algún material de restauración la pieza dental una vez quitada la lesión de caries.**
He leido que la falta o carencia de vitamina D puede facilitar o directamente provocar este problema, por lo que imagino que se deberá seguir una dieta rica en esta vitamina, incluso plantearse tomar suplementos vitamínicos.
https://www.naturisima.org/10-alimentos-ricos-en-vitamina-d/
https://www.bezzia.com/como-tratar-la-descalcificacion-en-los-dientes/
Si es posible, visite a su odontólogo, en estos casos parece ser muy necesaria la supervisión de un especialista para evitar que el proceso se agrave. Ánimo.