Es necesario empastarme las piezas 34 y 35
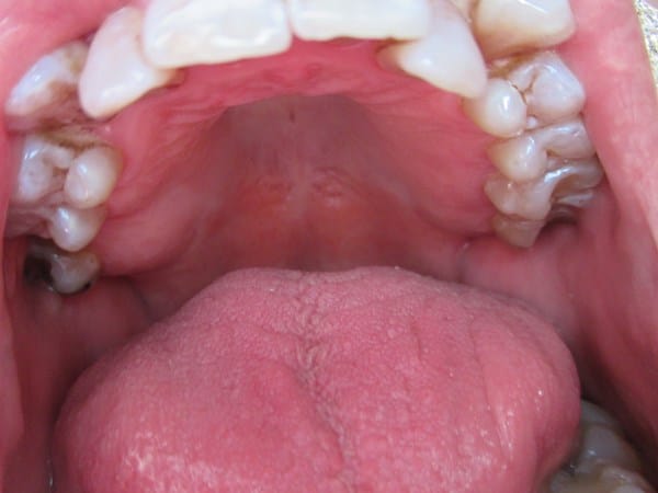
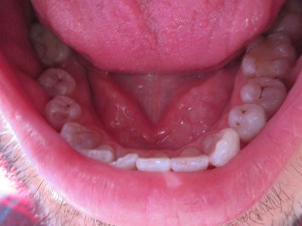
En mi clínica dental un dentista me ha recomendado, a parte de una limpieza, reconstruir (empastar) las piezas 34 y 35, cuando otro dentista me ha dicho que no es necesario la reconstrucción, sobre todo por que me limpio tres veces al día la boca, dentrifico, hilo dental y colutorio de 100% flúor, además no tengo molestias, adjunto fotos para valorar. Una de la parte superior y otro foto de las piezas 34 y 35.


1 respuesta
Respuesta
1

