¿Mi escoliosis es leve o moderada. Cuales son los grados

Hola quiero saber de cuantos grados es mi escoliosis si es leve o moderada y como puedo corregirla cual es el tratamiento

1 respuesta

Respuesta
1

I. Hola Carmen, en mi caso no soy conocedor pero padecí este cuadro de pequeño y adolescente, es un tema que me interesa. Como usuario de la página en el pasado intenté contestar a varias consultas sobre el tema, con su permiso deseaba dejarle los enlaces por si pudiesen serle de alguna utilidad mientras le atiende un profesional o experto de primera mano, sabrá que el ángulo de Cobb, es la medida que se utiliza para calcular los grados de desviación, con este sistema es posible determinar el nivel de curvatura o desviación,

https://espaldaycuello.com/angulo-de-cobb-en-la-escoliosis/

Disculpe las molestias de lectura e imprecisión, mucho ánimo.

https://www.google.com/url?sa=t&source=web&rct=j&url=http://repositorio.upsin.edu.mx/formatos/MEMORIADEESTADIA2339.pdf&ved=2ahUKEwjWqpnsiav6AhWBuaQKHdNEDswQFnoECBUQAQ&usg=AOvVaw1wwnHV2E1IwNmHOT34kFPv.

¿Cuantos grados de escoliosis tengo.? RX columna vertebral..

¿Tengo escoliosis leve que puedo hacer?.

¿Escoliosis 8 grados dorso-lumbar es grave?.

¿Una persona operada por escoliosis puede corregir aun más la corvatura con ejercicio?.

¿Tengo escoliosis leve que puedo hacer?.

hola gracias por la respuesta tengo una pregunta espero me pueda ayudar por favor  si corrijo la escoliosis que tengo eso hará que aumente unos cms más de estatura ya que se corrige la postura verdad

I. Hola Compañera, gracias, en mi caso la escoliosis me cogió muy pequeño, es decir, mi madre y mi abuela la detectaron cuando yo tenía menos de cuatro años, y aunque estuve liado de médicos hasta los doce, no sabría decirle, bajo mi experiencia particular, si se gana estatura, al corregir la postura de la espalda y que esta se muestre y desarrolle de manera normal, imagino que sí pero lo desconozco.

Quisiera dejarle la info que ví en este sentido, la verdad es que, acabo de leer, en casos de escoliosis severa -y sostenida en el tiempo-, sí es cierto que la persona puede llegar a ver aumentada su estatura muchos centimetros, una vez corregida. En casos más leves, como el suyo, donde parece haber un centímetro y medio de desviación, la ganancia sería esa, unos dos centímetros una vez corregida la postura de la columna, supongo

https://www.doctoralia.es/preguntas-respuestas/luego-de-cirugia-de-escoliosis-la-persona-crece-por-la-correccion-que-hubo

https://espaldaycuello.com/crecimiento-y-escoliosis/ 

https://www.infosalus.com/asistencia/noticia-aspectos-escoliosis-te-sorprenderan-20150124092938.html 

Lo que es seguro, dado mi caso, es de vital importancia cogerlo a tiempo y que sea tratado por un buen grupo de profesionales, si bien imagino que es mucho más fácil de corregir en una edad tan temprana que a los veinte años, y menos traumático para el paciente, sin duda tuve suerte. Lamento no saber comentarle más, ojalá un profesional o experto pueda atenderla mejor, mucho ánimo.

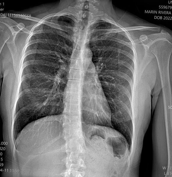
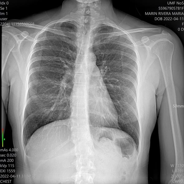
Hola esta es otra radiografía tengo 20 años he estado haciendo ejercicios para la escoliosis, pero no se si con los ejercicios mejore por favor usted viendo más o menos la radiografía cree que sea moderada o leve

I. Hola Compañera, le agradezco el voto de confianza pero por desgracia no tengo ninguna formación para poder opinar a ese nivel -ni a ninguno en realidad-, pero mi punto de vista personal, aunque sea desde la ignorancia, es que su escoliosis es moderada, no leve.

Sin embargo, según estoy leyendo y viendo, estaría equivocado, su escoliosis se enmarca más bien en un nivel leve, o a lo sumo intermedio entre leve y moderada,

El tipo de escoliosis que padece, pienso sería de clase torácico-lumbar, (más bien torácica según este esquema) dado que, simplificando mucho, existen hasta cuatro tipos de esta,

Ojalá le respondan en breve, y como le comenté, en caso de no ser así, podamos trasladar su consulta a un experto, mucho ánimo.

Añade tu respuesta

Haz clic para o

Más respuestas relacionadas