Ayudenme tengo una bolita media transparente en el piso de la boca adjunto fotos
Tengo conciencia de descubrirla desde agosto del 2019 aproximadamente quizas siempre estuvo ahi o nose el caso es que Hace unos meses tenía una ampolla o roncha o algo medio transparente se veía como si tuviera líquido y hoy me vi la boca y ahora estaba roja como mezclada con sangre y me dio miedo que puede ser? También se siente el sabor a sangre, es que busco en internet y todo lo que me sale es Cáncer de una u otra cosa y tengo miedo. Era una bolita transparentosa que tenía desde el año pasado.
Luego ya la tengo un poco medio transparente y se le ven como venitas y a los bordes como media roja nose que puede ser tengo miedo y una ansiedad increible.
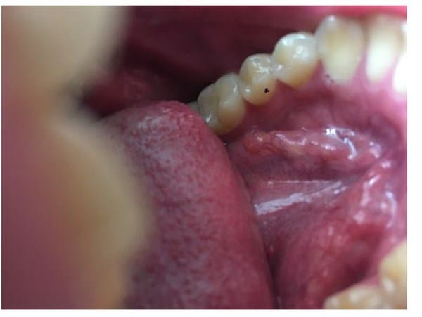
Asi estaba el año pasado justo apenas se ve donde esta el punto negro como un centimetro mas abajo

Luego ayer estaba asi no se si se aprecia un poco transparente
hoy parece que esta como mas clara en el centro pero como roja a los bordes ayudenme,,, por favor segun lei puede ser una ranula o mucocele y si eso hay que explotarlo o se quita solo ayudenme tengo miedo estoy traumado con el cancer desde que mi mama ha pasado por uno y luego que un amigo de mi papa se muriera de un cancer en la boca o algo asi he estado traumado con esto

