Ampolla roja en el piso de la boca
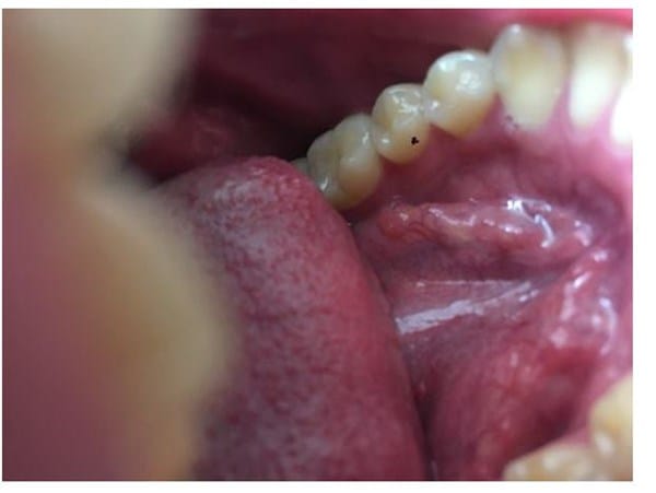
Hace unos meses tenía una ampolla o roncha o algo medio transparente se veía como si tuviera líquido y hoy me vi la boca y ahora estaba roja como mezclada con sangre y me dio miedo que puede ser? También se siente el sabor a sangre, es que busco en internet y todo lo que me sale es Cáncer de una u otra cosa y tengo miedo. Era una bolita transparentosa que tenía desde el año pasado
1 respuesta
Respuesta
1



