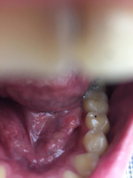
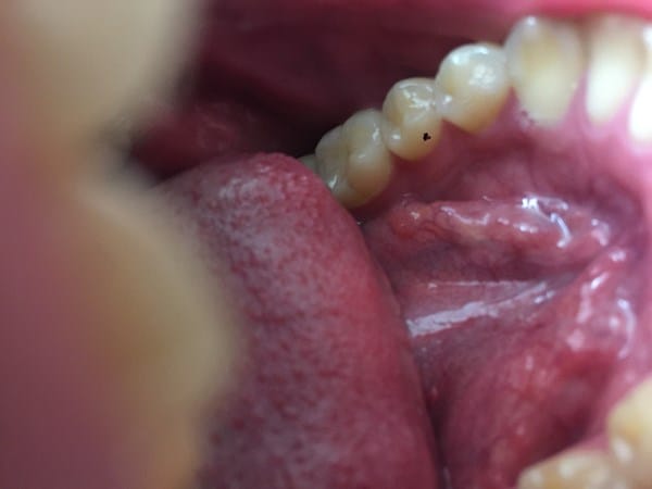
¿Siento cómo una ampolla debajo en la base de la boca debajo de la lengua? Que puede ser
Estuve leyendo y parece un mucocele no lo se, no me molesta ni nada no duele, solo cuando muevo mucho la lengua tocándomelo aveces si como que molesta. Pero en general si no me paso la lengua por ahí es como si no existiera, resulta que me traumó mucho con las cosas que aveces tengo.
Y no me deja en paz no me puedo concentrar.
Mi mama acaba de pasar por un cáncer temprano de mama y le están dando quimioterapia y acompañarla al oncológico y todo lo que vez allí te afecta demasiado, entonces me he quedado un poco traumado.

al lado de la brusca que tiene la camara se ve como una ampolla.

2 respuestas
Respuesta de david ..
1
Respuesta de Saludable ?
