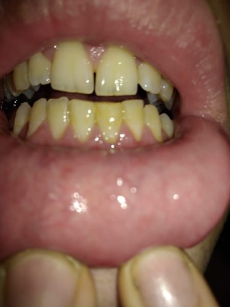
Siento dolor en la parte de los dientes incisivos inferiores
En la noche en especial siento dolor le dije a mi madre que me lleve el miércoles pero capas que voy mañana martes quería saber si es por sarro o si tengo alguna carié

1 respuesta
Respuesta de David Úbeda
2

