¿Babilla blanca en la garganta?
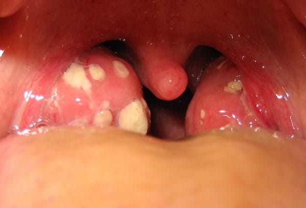
Desde hace 2 semanas, tengo una babilla blanca en mi garganta, y cada vez me duele más la garganta. Fui a mi doctora, y me receto amoxicilina ácido clavulonico, no me izo efecto. Fui de nuevo y me a mandado al otorrino. Me han dado cita para el día 12. Pero soy hipocondríaco, y me asusta mucho el tema. Mi garganta esta roja, inflamada. Y sobre todo por las mañanas me empieza como a recorrer la babilla blanca. ¿Puede ser cáncer? No, remedios caseros. Esto es serio
1 respuesta
Respuesta de david ..
1







