Inflamación de encías y aftas bucales
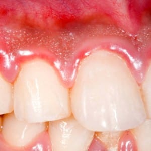
La semana pasada me levante con las encías inflamadas y unos mini puntos blancos que escuecen y al cepillarlos sangran (la encía no sangra solo los puntitos). Tengo por encima de los incisibos y el paladar. Tengo una buena higiene dental con hilo y colutorio y cepillo eléctrico. También tengo miedo por que no se si es de tanto cepillado pero un diente se abajo se esta quedando sin encía y tiene el cuello descubierto y cuando bebo algo frio o caliente me molesta y inclusive al respirar por la boca. Mi dentista a esto no le da mayor importancia. ¿Qué opinan ustedes que puede suceder en ambos casos?
3 respuestas
Respuesta de david ..
1
Respuesta de David Eutimio Belhadia Garcia
1
Respuesta de Sara Martin Pérez
1



