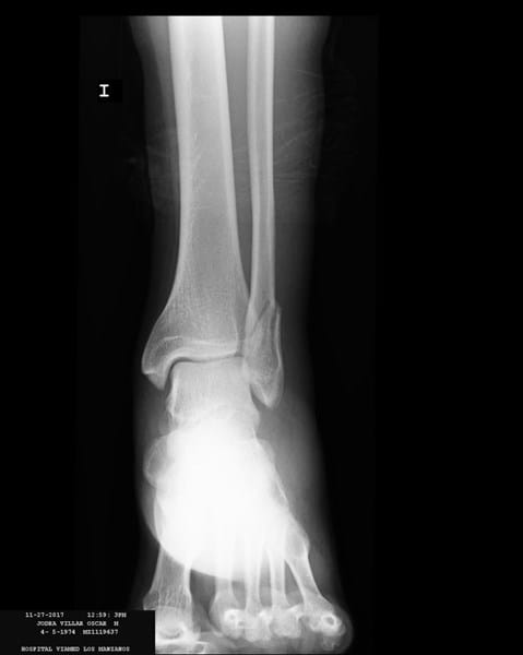
Tiempo de recuperación maléolo externo
El pasado 25 de noviembre bajando una escalera me retorcí el tobillo izquierdo. Pensaba que había sido un simple esguince y estuve todo el fin de semana con el pie en alto aplicándome hielo y tomando ibuprofeo. El lunes decido ir al medico, me hacen una radiografía y me dicen que tengo: fractura de maléolo peroneo con desplazamiento leve 1,4mm. El traumatólogo me da dos pociones: Una operar o colocar una ortesis fija de tobillo tipo Walker. Después de que me explique que no es necesario operar decidimos seguir adelante con la opción de la ortesis.
Mi pregunta es:¿Cuánto tiempo tiene que pasar hasta que vuelva a andar sin muletas? Y ¿Cuánto tiempo tiene que pasar hasta que pueda volver a practicar el deporte que me gusta que es el snow boardin?
Adjunto radiografía

.