Preguntas esperando respuesta
Actividad pública reciente
Ha preguntado en el tema en
Huesos y articulaciones
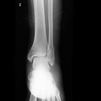
Tiempo de recuperación maléolo externo
Ha empezado a seguir el tema Huesos y articulaciones
