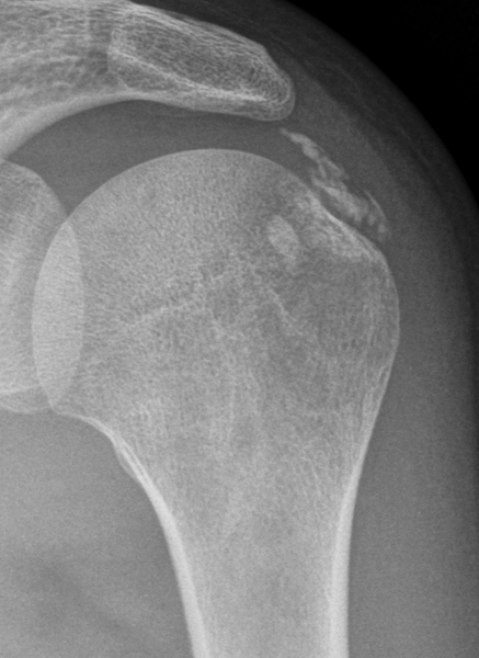
¿Qué ven ustedes en esa placa?

La placa es de hombro izquierdo, unos traumatólogos dicen fractura de troquíter o calcificación y otros descartan fractura... Aún no saben lo que tengo, me dicen que en la resonancia se vera.
1 Respuesta
                    Respuesta de Andrés Martínez                
                