Pregunta en
Farmacia
Desorientada
Soy estudiante de 1 de farmacia, la cosa va muy mal, estoy rindiendome, fisicoquímica, puff, bioquímica peor, no se como hacer para entender, veo que compañeros van a las academias pero tampoco con resultados brillantes, sabes de algún lugar donde...
Pregunta en
Embarazo
Quiste
Hola me llamo Vega, tengo una hija de 18 años que presenta un quiste folicular en el ovario derecho, hace 2 meses tenia 4 cm ahora 2 cm. De la ultima revisión, el ginecólogo dice que no hace falta hacer nada que solo se marcharacon los...
Pregunta en
Empresas y Negocios
Normativa o ley
Buenas tardes soy de catalunya, quisiera saber si existe alguna normativa o ley para el alquiler de garajes, quiero alquilar unos bajos para plazas de garaje a diferentes personas, supongo que debe reunir unas condiciones, podrías decirme cuales son,...
Pregunta en
Salud dental
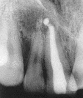
Endodoncia
Buenas, soy de catalunya me han practicado una endodoncia, no me han hecho ninguna radiografía, ni antes ni después, ¿Extraño no?, bueno he estado bastante tiempo con la muela, al final me la ha tapado, doler no duele pero al morder me pincha, como...
Pregunta en
Electrodomésticos
Miele
Hola soy catalana, tengo un miele i me trae de cabeza, algunas veces seca i otras no, he miardo todo, la salida que no estuviera obstruida, todo lo que se claro, ¿En fin puedes orientarme de que es?, es que los técnicos tienen que venir de lejos y...
Pregunta en
Electrodomésticos
Lavavajillas
Mira necesito consejo. Tengo un lavavajillas miele desde hace 18 años, ahora como es lógico pues empieza a tener reparaciones, hasta ahora nada ni un problema, yo quiero comprarme otro miele, pero ahora me dicen que no, que son demasiado caros y que...
Pregunta en
Meteorología
Web
Sabrías decirme alguna web que pueda ver en directo como se forma una tormenta o huracán o cosas similares es para el trabajo de bachillerato me llamo susi supongo que habrá alguna para hacer seguimientos pero no la encuentro muchas gracias
Pregunta en
Medicina alternativa
¿Calvito?
Hola tengo 20 años soy estudiante y me parece que me estoy quedando calvo, ¿Me han recetado una medicamento homeopático phosphoricum acidum 30 para la caída del cabello, es correcto,? Pues no he notado nada, en mi zona no hay demasiados homeópatas,...
Pregunta en
Salud dental
Endodoncia
Buenas, creo que necesito ayuda, me extrajeron el nervio de una muela, sin hacerme radiografía, me dijo el dentista que tenia tres entradas, la question es que me dejo sin tapar la pieza porque dijo que tenia mucha infección, bien pues de esto hace...
Pregunta en
Salud dental
