Endodoncia

Bueno creo que me han tomado el bolsillo, le explico, me extrajeron el nervio de una muela me dijo el dentista que tenia tres entrads, bueno ami me duele mucho la barra, sigo con amoxicilina i antiinflamatorios, i lo que más me mosquea es que me sigue doliendo, no me hizo ninguna radiografía, que debo hacer, estoy muy nerviosa no se adonde ir. Me dijo que volviera para tapar, pues llevo el provisional gracias

1 Respuesta

Respuesta
1
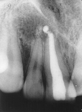
¿Te hicieron una endodoncia y no te tomaron ninguna radiografía? ¿Ni antes, ni durante, ni después del tratamiento? ¿No te enseño en una radiografía los 3 conductos (entradas) que te dijo que tenias? Mira, para realizar una endodoncia son FUNDAMENTALES los rayos POR ya que son la única manera de que el dentista y el paciente puedan ver que es lo que están haciendo, ya que sin ellos estamos literalmente a ciegas; por otro lado ¿hace cuánto te realizaron ese tratamiento? Muchas veces después de terminado el tratamiento la muelita o diente en cuestión queda un poco adolorido, sobretodfo al morder se siente un como "pellizco" pero que se tolera sin ningún problema, sobretodo si es apoyado con antiinflamatorios; ¿Qué debes hacer? Bueno, primero (y perdón por ser tan brusco en mi respuesta) acude con un endodoncista (no un dentista general, sino un especialista en endodoncia) si no conoces ninguno, acude con tu desntista, platícale lo que te pasa y preguntale "¿por que no me tomas una radiografía para ver que pasa?" si te contesta de forma negativa, pídele que te refiera con un especialista (o mínimo alguien que tenga rayos X) y explicale que tu investigaste y descubriste que una endodoncia se DEBE realizar con la ayuda de rayos X, hasta el momento no existe una manera de realizar un tratamiento como ese sin apoyo de la radiografía ya sea tradicional o digital(YA QUE COMO SE TRABAJA DENTRO DEL DIENTE NO HAY OTRA MANERA DE SABER DONDE DIABLOS ESTAMOS). Continua con los medicamentos por el tiempo que te indico y regresa a verlo, pero de ninguna mnaera dejes que comiencen a restaurarlo (ponerle la tapa) sin haber visto tu una radiografía, en ella debes ver tu diente y dentro de el unos "hilitos" de color blanco opaco que recorren la raíz en toda su longitud" sin salirse de esta (no es necesasrio ser dentista para ver en una radiografía donde empieza y termina la raíz de un diente). Por ultimo, cehca esta página, aquí veras como se ve en una radiografía un diente con endodoncia (el del lado derecho con la linea blanca enmnedio) y uno sin ella (el del lado izquierdo)
Pero sobretodo piensa que si quien te la realizo no te tomo ningún radiografía, entonces debes pensar en que lo que te hicieron no fue hecho de la mejor manera. Espero haberte respondido y aclarado tus dudas, si no, vuelve a preguntar, aquí estamos y que te mejores. Ah lo olvidaba, yo vivo en mexico y no se a que te refieres con "me duele la barra" ¿qué es la barra?

Añade tu respuesta

Haz clic para o

Más respuestas relacionadas