Salud dental

3.977 seguidores
Preguntar

Preguntas resueltas

Pregunta en de

Bulto duro en encía, no hay dolor

Desde hace tiempo tengo una pequeña bolita dura en en la parte interna de la encía de abajo. No molesta nada, me acuerdo solo que lo tengo cuando me lo tocó con la lengua. Me gustaría saber qué puede ser, y si se puede quitar o por lo contrario que...
Pregunta en de

Fisura tratamiento conducto por corte transversal

Quisiera saber si una fisura en tratamiento de conducto, visto por corte transversal, ¿Es causal de extracción?
Pregunta en y en 4 temas más de

Hay posibilidad de contagio de VIH en mi caso?

Resulta que estuve hablando con una persona que no conocía en la calle, no sé si esta persona estaba enferma de vih o no pero eso no es lo que me preocupa. Suponiendo que esa persona si estuviese enferma de vih, ¿Me pudo haber contagiado si me...

¿ Debo de tener alguna precaución en especial al ir al dentista ?

Quiero plantearte una duda : Tengo una especie de herida o bulto en la encía . Tengo entendido que las heridas en la encía pueden transmitir una enfermedad de transmisión sexual ( sida, hepatitis ) u otras . Si no estoy seguro que tengo alguna de...
Pregunta en y en 2 temas más de

¿Qué le pasa al cuerpo cuando tienes una infección?

Tengo infección bucal casi siempre o de la muela o de la encía (me sale pus) y yo tomo pastillas anticonceptivas. Me gustaría saber si a el cuerpo le cuesta absorber la pastilla al estar en una infección. Para tomar doble protección o algo
Pregunta en de

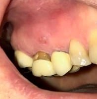
Tengo una pequeña herida encima de muela endodonciada.

Tengo una pequeña herida encima de una muela endodonciada que de vez en cuando sale una pequeña ampolla blanca y blanda que se quita tras el cepillado, yo creo que la herida ha salido al explotarme dicha ampolla al cepillarme los dientes. ¿Cómo...
Pregunta en y en 2 temas más de

Papada solo a un lado del mentón o mandíbula

Tengo un problema en la zona de la papada, llevo años con ello y me deforma la cara, resulta que tengo más papada en un lado del cuello que en el otro y hace que me deforma la cara porque no es asimétrica. ¿Alguien sabia decirme que podría ser o a...
Pregunta en y en 1 temas más de

Qué implante dental debo ponerme

Tengo periodontitis y alguna recesión de encía. Uno de los "paletos" se mueve y tiene recesión de encía. El dentista (no periodontista), me dijo que me podría hacer un implante fijo de circonio que iba pegado con cemento, q no me lo tendría que...
Pregunta en y en 2 temas más de

Dolor en las encías pero no hay infección ni inflamación

Resulta que llevo varios días con dolor muy fuerte e intenso en la boca, concretamente como si fuera en las encías pero el dolor me va por toda la boca casi. La dentista no me vio nada, me hizo radiografías y no hay nada tampoco. Me recetó...
Pregunta en y en 4 temas más de

Tengo la lengua blanca, y una mancha rojiza.

Hace 2 meses en la mitad de la lengua descubrí una parte rojiza, que sangraba, al mirar detenidamente mi lengua vi que estaba blanca y la parte posterior tenia una capa más gruesa y pastosa. ¿Qué puede ser?

Mejores expertos últimos 100 días

Mejores expertos total

Suscríbete RSS