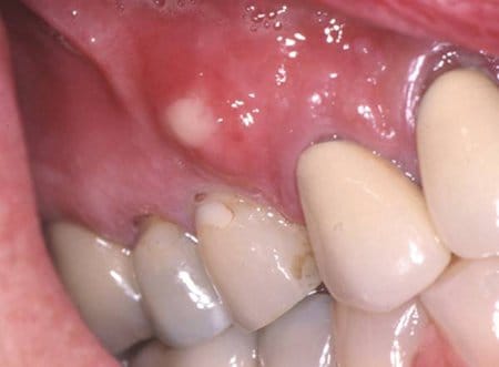
I. Hola Compañer@, en mi caso no soy experto y necesitaría ver la zona para poder opinar, pero creo que podría tratarse de una fístula/quiste o afta bucal, díganos por favor si tiene el aspecto de las imágenes que utilizamos en esta otra consulta, y revísela por completo si le es posible,
Ampolla de sangre en la boca.
También podría tener esta forma, al ser el mismo cuadro pero más leve.


Tratar una fistula es sencillo, (en mi caso no conozco bien el cuadro), pero debe ser el especialista médico quien nos guíe. Aquí por ejemplo podría ver información sobre el tratamiento.
http://clinicadentalsanzpastor.com/blog/tratamientos/fistula-dental-bulto-encia/
https://youtu.be/_0QsR2nd9v4
Ojalá haya suerte. Ánimo.