Tengo una herida en la encía, ¿Qué podría ser?
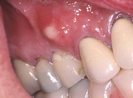
Tengo un pedacito de la encía levantada (circulo) y dura sobre el colmillo izquierdo, desconozco si me cepille muy fuerte, queme o algo por el estilo, ¿Qué podría ser? No duele nada! Y es muy pequeña.
1 respuesta
Respuesta de david ..




A - Yuliani Manzano