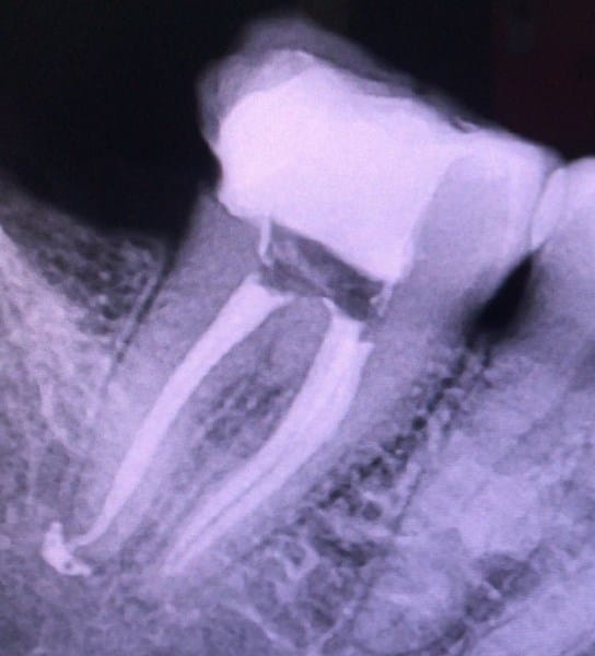
¿Con la extracción de muela con endodoncia sobreobturada, también saldrá el cemento intruso y se solucionara el problema
Bueno es que en el procedimiento endodontico(hace más de 3 semanas) hubo intrusión de material de obturación, lo cual me esta provocado mucho dolor desde entonces y por lo tanto he decidido sacármela porque ya no quiero pasar por más procesos para "salvar" la muela estoy cansada... Entonces opte por esta opción pero mi preocupación es que con la extracción no se solucione el problema y me siga el dolor, ¿con la extracción el material excedente también saldrá por completo?... Me urge la respuesta pues mañana tengo programada la extracción.

1 Respuesta
Respuesta de Estoma Salud
1
