Tabaquismo

692 seguidores
Preguntar
Pregunta en y en 3 temas más de

Es normal sentirse mal despues de fumar?

A veces dejo de fumar por meses pero cuando vuelvo a fumar me siento mareada, ansiosa, me duele el pecho y cuando rio parece salir un chillido, he reducido el consumo de tabaco notoriamente pero creo que sera hora de dejarlo, solo quiero saber si es...
Pregunta en y en 1 temas más de

El vapeador (cigarro electrónico) tiene thc?

Yo tengo un problema, que cuando consumo marihuana, se me cae el pelo, pero hace rato me eche unos fumadas, y tengo miedo que tengan THC .. ¿Pueden contener los vapes tradicionales THC?
Pregunta en y en 1 temas más de

Tabaco de liar como tabaco de contrabando

El pasado sábado de madrugada me hizo un registro la policía municipal, no me encontraron ningún tipo de estupefacientes pero llevaba dos bolsas con cigarrillos hechos con tabaco de liar, una contenía unos 20 cigarrillos y la otra 6 o 7, la cuestión...
Sin respuestas
Pregunta en y en 2 temas más de

Buenas, si mi vecino fuma porros por la noche puedo hacer algo ?

¿Puedo hacer algo? Para que dejen de fumar en su piso, ya me me llega el olor por la ventana
Pregunta en de

¿Desde cuándo fumas?, y ese tipo de cosas

La tarea consiste en que tengo que hacer una encuesta a 10 fumadores. Las preguntas son las siguientes: * ¿Cuántos años tienes? * Sexo * ¿Desde hace cuánto fumas? * ¿Te agotas demasiado al realizar una actividad que requiere mucho esfuerzo? Voy a...
Sin respuestas
Pregunta en de

Sabes todo sobre los cigarrillos electrónicos?

Un vapeador es un inhalador que busca simular un cigarro. Algunos son de forma cilíndrica, con la finalidad de parecerse lo más posible a un cigarrillo tradicional, también los hay con forma de pipa, etc. Todo cigarrillo electrónico consta de una...
Sin respuestas
Pregunta en y en 2 temas más de

Fumas porros o pitis? Lo digo por que huele desde aqui

Ar su poder. Hindenburg murió el El racismo, la eugenesia nazi y, especialmente, el antisemitismo, fueron rasgos ideológicos centrales El 30 de enero de 1933, Hitler fue nombrado canciller de Alemania, jefe de gobierno, por el presidente d
Sin respuestas
Pregunta en y en 2 temas más de

Duda sobre tos seca luego de ser fumador pasivo

Desde ayer estoy con tos seca que sólo aparece por momentos. Durante toda la semana hasta ayer estuve expuesta al humo de segunda mano de una persona (yo no suelo fumar ni nadie de mi entorno cotidiano). La tos es el único sintoma que presentó....
Sin respuestas
Pregunta en y en 1 temas más de

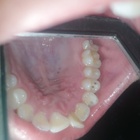
Que puede ser esto? Fume por dos años ocasionalmente 1 a 3 cigarros a veces era diario.(Los puntos negros son de el espejo)

Fume por dos años ocacionalmente, el paladar de la parte de atras se siente rasposo y de enfrente esta esa mancha blanca que al parecer es lo que incomoda en mi boca con mi lengua. Tambien en la parte de enfrente de el paladar duele y enfrente esta...
Pregunta en de

Fumo media cajetilla diaria y me como la ceniza tengo muchas agruras y ciento un oprimiendo en mi pecho que es lo que tengo

Dolor en el pecho y mucha agruras consumo una cajetilla cada dos días pero tengo mucha molestia más por las noches

Mejores expertos total