¿Es posible reendodonciar o es mejor un implante?

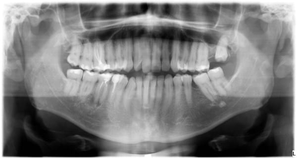
Hace 4 años me hicieron una endodoncia en Méjico no muy bien hecha, desde las primeras semanas me dolía un poco, la reconstrucción fue hecha en España pero al cabo de dos años empezó a fallar. Ahora me han hecho unas radiografías y me dicen que se una infección. Me comentan que la reendodoncia es complicada porque hay que quitar la que está hecha, esperar a que se desinfecte, volver a hacer la endodoncia y reconstrucción muy complicada debido a que la caries empezó muy abajo y pone una funda. Y es posible que aun así falle, así que me recomiendan un implante. Pongo las imágenes (es un molar abajo a la izquierda).

1 respuesta

Respuesta
1

I. Hola.

Dabid5, no puedo opinar por desconocimiento pero puedes leer estos textos donde creo que se explican una parte de tu dudas.. en mi ignorancia, lo ideal si se dispone de los recursos es hacer un implante, pero tambien requiere un esfuerzo económico mayor. Mucho ánimo.

http://www.clinicadentalvelazquez.com/dificultad-en-reendodoncias/

http://www.ortoplus.es/blog/2016/07/11/tratamiento-de-endodoncia/ 

¿Qué es mejor endodoncia o implante?

La implantología ha modificado drásticamente el plan de tratamiento odontológico.

Sin embargo, el microscopio en endodoncia han aumentado el número de situaciones clínicas que pueden tratarse con éxito predecible, tanto no quirúrgica como quirúrgicamente.

Las limas rotatorias de Ni Ti han estandarizado la limpieza y el conformado de los canales radiculares, reducido al mínimo la frecuencia de escalones, bloqueos, desgarros y perforaciones, y aumentado el índice de éxito de los tratamientos y retratamientos de conductos.

Por otro lado, el diseño de los implantes de titanio modernos ha hecho que mejore de tal manera su estabilidad inicial, que pueden ser cargados cuando se colocan en alveolos posextracción. Sin embargo, el tratamiento con implantes dentales es monofásico: extracción e implante inmediato, sin otras alternativas; mientras que el tratamiento endodóncico es multifásico: tratamiento de endodoncia, reendodoncia, apicectomía.

La comparación entre endodoncia o implante dental debe ser enfocada en el caso de implante de titanio unitario entre dientes naturales donde no hay modificación alguna en el esquema oclusal general.

La colocación de un implante inmediato en un alveolo de un diente con fracaso endodóncico previo no es lo mismo en términos de tiempo, número de visitas requeridas, presupuesto, estética, etc. que un caso con un alveolo intacto.

En la mayor parte de los casos hay defectos óseos residuales que requieren el uso de regeneración ósea guiada; y para la regeneración de defectos óseos de origen endodóncico, el mejor, más predecible, con menor costo y el método más científicamente probado, es el tratamiento endodóncico. Incluso en el caso de un diente no restaurable, el tratamiento endodóncico puede indicarse estratégicamente para regenerar el defecto óseo primero, y luego extraer el diente y colocar un implante inmediato.

Cuando se intenta comparar el tratamiento endodóncico con el de implantes, la dificultad empieza ya con la definición de la palabra “éxito”‘, y así la mayoría de los estudios con implantes definen éxito como “supervivencia” (seguir en boca aunque sea con inflamación gingival y espiras expuestas), mientras que los estudios de endodoncia aplican estrictos criterios clínicos y RX para definir “fracaso” como la sola presencia de algún signo clínico y/o hallazgo radiológico.

Por lo que el reconocimiento de que la enfermedad pulpar y periapical puede ser manejada pero no eliminada sería un importante punto de partida con respecto al tradicional método de evaluación de resultados basados en signos clínicos y hallazgos RX. Y por otro lado, la introducción de factores como la estética, la estabilidad de los tejidos periimplantarios a largo plazo y la función de la restauración protética para definir éxito en tratamiento con implantes (en lugar de únicamente estabilidad del implante), podrían ayudar a realizar una comparación más justa. Como se dijo anteriormente, el tratamiento endodóncico es multifásico.

En el caso de un diente con pulpitis irreversible, la terapia endodóncica es un método muy fiable para tratar con éxito y mantener el diente en boca (94% éxito). En el caso de que falle el tratamiento (6%), el retratamiento no quirúrgico puede eliminar con seguridad el tratamiento previo realizado, corregirlo y mantener el diente (69% éxito) evitando así la necesidad de cirugía. Pero en el caso en que no se pueda tener acceso al foramen a través de la corona, la cirugía puede solucionar el problema de origen endodóncico con más de un 95% de éxito.

El adecuado sellado marginal de la restauración del diente tratado endodóncicamente, impide la filtración coronaria la suficiente estructura dentinaria alrededor impide que se produzca una FRV y se asegura el éxito a largo plazo del tratamiento endodóncico de un diente con adecuado soporte periodontal.

En el caso de que el acceso, no quirúrgico o quirúrgico, al ápice o al sitio de la perforación no se pueda realizar, entonces el reimplante (95% éxito a 3 años) la hemisección o amputación radicular puede solucionar el problema y mantener el diente en boca.

Los índices de éxito del tratamiento endodóncico y de implante único son iguales. Dos grandes estudios de las bases de datos de compañías aseguradoras (millón y medio y 44.000 dientes), mostraban que los índices de retención tras el tratamiento de dentistas generales y endodoncistas a 8 y 3,5 años de seguimiento eran de 97 y 94%. Estos resultados son comparables al índice de supervivencia de implantes únicos sin embargo, los índices de fracaso son totalmente diferentes. El fracaso del implante está asociado con el movimiento del implante y su extracción es la única alternativa. La extracción requiere cirugía.

La restauración debe ser retirada, con lo que se altera la estética y la función. El defecto óseo debe ser regenerado como paso previo al tratamiento subsiguiente. Sin embargo las espiras expuestas, la inflamación gingival y la reabsorción ósea no se consideran fracaso implantario aunque afecten la estética y sean extremadamente difíciles de tratar en el caso de implante único entre dientes.

Afortunadamente, el fracaso del tratamiento endodóncico puede ser manejado con mayor flexibilidad, por fases: retratamiento, cirugía periapical, cirugía perirradicular (amputación, hemisección), reimplante o trasplante, pudiendo alargar la vida del diente durante muchos años. Esto tiene un beneficio psicológico y económico para el paciente. Trope ha diseñado el escenario de cien dientes que necesitan inicialmente tratamiento endodóncico. Aplicando los índices peores de éxito de cada fase de tratamiento endodóncico, solo tres dientes necesitaron ser extraídos. Las restauraciones se mantuvieron y la función no se vio alterada.

Pero si aun después del proceso de selección multifásico, existe indicación para la extracción del diente (contenido), el clínico debe concentrarse en un nuevo escenario y estudiar con detalle la topografía del hueso remanente (continente) antes de la extracción, el estado del marco gingival y las relaciones de estos importantes factores con los dientes vecinos y antagonistas, así como el impacto en la estética general de la boca.

Microcirugía endodóncica e implantes

La terapia endodóncica y la implantológica deben trabajar juntas. El tratamiento endodóncico puede servir para regenerar la lesión ósea de un diente no restaurable que será extraído más tarde para colocar un implante dental.

La microcirugía endodóncica se programa con dos objetivos: primero realizar apicectomía en el incisivo derecho para controlar la infección, segundo para injertar la zona del izquierdo con un injerto monocortical tomado de la misma zona quirúrgica, para poder poner un implante posteriormente.

Los procedimientos de cirugía plástica periodontal son de difícil ejecución y bastante propensos a fallar, los resultados estéticos gingivales son variables y no siempre atienden a las expectativas de los pacientes. La preparación y la capacitación del profesional influyen en el grado de éxito estético.

La microcirugía se realiza con microscopio operatorio y microinstrumentos, perfeccionando las técnicas convencionales. Hay tres principios:

  1. Aumento de la actividad motora para mejorar el desempeño quirúrgico. Es evidente en el movimiento de las manos, ejecutados con precisión y mínimo temblor.
  2. Uso de microinstrumentos, de punta activa precisa y delicada que minimiza el sangrado.
  3. Cierre de la herida de forma pasiva con colgajos posicionados borde a borde, elimina espacios y evita formación de tejido nuevo inflamado. El cierre es imperceptible.

Así pues, el postoperatorio es más confortable y cicatriza más rápido, y en consecuencia, los pacientes aceptan mejor estos procesos quirúrgicos, y se consiguen resultados estéticos más previsibles.

Añade tu respuesta

Haz clic para o

Más respuestas relacionadas