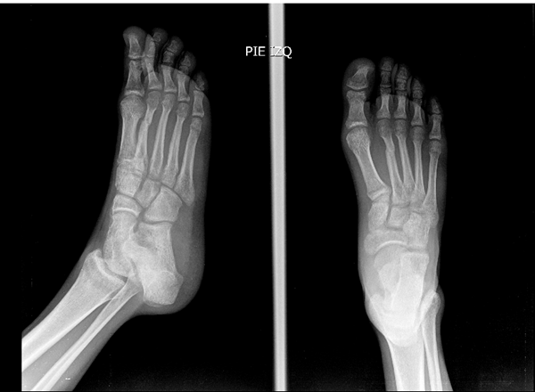
Es normal que sienta crepitación en el foco de la fractura?
El pasado 2 de octubre tuve una fractura transversa en el tercio medio distal del 2 metatarsiano, el 11 de noviembre me quitaron la inmovilización pero siento que eso tiene crepitación, la fractura se desplazó un poco hacia abajo, ¿es normal que sienta que traquea?HAROLD IVANOVICH
1 respuesta
Respuesta de HAROLD IVANOVICH
1

