Respuesta
en
Salud dental
a
Mi caso es raro nunca me bajo el diente lateral pero si lo tengo. Desde los 12 tengo brackets y ya tengo 20 aun los tengo :(
Si estubieras aca en colombia para q veas esos los e bajado en 6 meses
Respuesta
en
Salud dental
a
Endodoncia y infección en ver la radiografía
Te voy hacer sincero si fue un endodoncista calificado y con experiencia no te tubiese pasando lo q te pasa busca ayuda de profesional especializado endodonciata. Lo que tienes es simple lo han complicado.
Respuesta
en
Salud dental
a
Debo extraer una muela con el nervio roto y con infección?
Haste tratamiento de conduct
Respuesta
en
Salud dental
y en 1 temas más
a
¿Qué me sucede en la muela?
Aveces la cura blanca q te colocan esta alta y eso hace q cuando choquen los dientes te fastidie y no deja cicatrizar el tratamiento. Bajala
Respuesta
en
Salud
y en 1 temas más
a
No use los retenedores por un tiempo
Mejor no los pongas y si los quieres ve a q los modifiquen o as otros
Respuesta
en
Salud
y en 2 temas más
a
Llevo 4 días de haberme realizado una endodoncia, tengo 32 semanas de embarazo y quiero saber si es normal que el dolor no sece
Que te vuelvan a rectificar la endodoncia sin rx
Respuesta
en
Salud dental
y en 2 temas más
a
Muela penúltima me pusieron una esponja, ¿Se sale solo?
Si esa esponja es un anticoagulante pero eso se retira enseguida
Respuesta
en
Salud dental
a
No puedo abrir la boca, mi mandíbula esta trabada
Ve urgente donde te la extrajeron puede ser diversas causas. Pero mejor q te valoren Alveolitisentre algunas causas
Respuesta
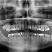
en
Salud dental
a
Caries dental tras radiografía boca completa
Respuesta
en
Salud dental
a
¿Qué debo hacer me veo algo blanco al lado de la encia?
Si eso esvreatos oseo toma rx