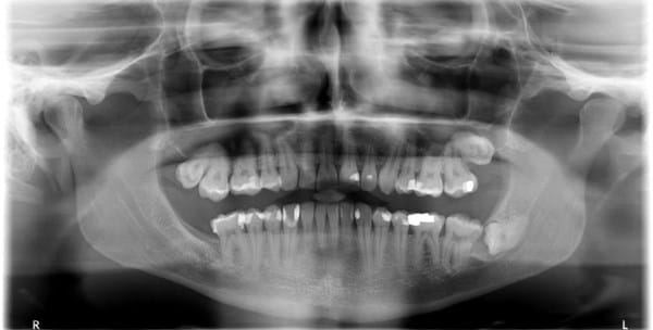
Caries dental tras radiografía boca completa
Me gustaría saber si tengo caries dental en esta radiografía ( En ese diente que esta pegado al cordal), unos dentistas me dicen que si y otros que no . Muchas Gracias . Un saludo.


2 respuestas
Respuesta de leiderpl
1
Respuesta de Lorena Pérez
-1