Salud dental

3.977 seguidores
Preguntar

Preguntas esperando solución

Pregunta en y en 2 temas más de

¿Me debo extraer la muela del juicio?

Llevo tres días con mucho dolor en la muela del juicio inferior derecha, tengo la encía roja y aparte de ello me doy cuenta que al parecer me esta brotando parte de la raíz o no se que en la encía interna es decir la que queda pegada a la lengua y...
Sin respuestas
Pregunta en de

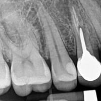
Extracción o re endodoncia, que es lo mejor? RX adjuntos

Junto con saludar, Les comento que hace algunos años, me hicieron una endodoncia en la pieza 14, que resulto con una quebradura de una de las puntas del diente, posteriormente se me reparó con una incrustación, la cual falló y finalmente otro...
Sin respuestas
Pregunta en y en 1 temas más de

Colmillos sucios de mi perra. Cómo y cada cuánto la limpieza dental de perros

Mi perra tiene año y medio y aunque le doy unas barritas especiales para dientes, tiene los colmillos y algunos dientes muy oscuros. Creo que se puede usar cepillado e incluso limpieza por veterinario. Me gustaría me informaran de las opciones.
Sin respuestas
Pregunta en de

Agujero en la encia en niño de 4 años

Tiene los dientes de arriba dañados negros y en las muelas se le ha salido el esmalte los tiene color hueso en la muelita primera de la izquierda tiene un agujero en la encia que se le ve un pedazo de la muela y me preocupa que sea peligroso que...
Pregunta en y en 1 temas más de

Papila gustativa blanca y grande, ¿Qué puede ser?

Harán unos meses note en mi lengua lo que sería una papila gustativa blanca y un poco más grande que las demás. No me duele ni nada, ni tampoco creció en este tiempo. ¿Qué puede ser?
Sin respuestas
Pregunta en y en 2 temas más de

¿Estudiar protésico dental distancia o presencial?

Quisiera estudiar protésico dental pero por cuestiones de disponibilidad horaria irregular me planteo hacerlo a distancia... ¿Me pregunto si realmente vale la pena o si es definitivamente mejor presencial? Mi miedo es tocarme con estas típicas...
Sin respuestas
Pregunta en y en 1 temas más de

Me quitaron las muelas del juicio y las bolsas de bichat en la misma cirugía

Estoy preocupada ya que el lunes 18 de diciembre me quitaron las muelas del juicio y me sacaron las bolsas de bichat. De un lado de mi cara estoy bien, un poco inflamada pero nada grave y del otro lado está muy inflamado y hoy 24 de diciembre sigue...
Pregunta en de

¿Cuándo tiempo debo esperar para ir al dentista si no se me cae los puntos?

Hace tres semanas me quitaron una muela del juicio y el doc me puso suturas, me dijo que los puntos se caerían solos, solo que ya pasaron tres semanas y aun no se caen. ¿Debo ir al dentista o con el maxilofacial?
Sin respuestas
Pregunta en de

Al extraerme la 4 cordales, la parte inferior izquierda me duele demasiado

Me sacaron las 4 cordales, todas normal salvo a la inferior izquierda que le cogieron puntos, una semana después todo marcha normal, salvo a la que me cogieron puntos, pues esta me esta doliendo y la sutura esta medio descosida y la encía esta...
Pregunta en y en 1 temas más de

Golpe en dientes DELANTEROS, ayer me di un golpe en los dos dientes de arriba y creo que me salieron dos rayas verticales

Las rayas no se ven a simple vista, solo si pongo luz, sobre mis dientes, siento un ligero dolor y ahora tengo miedo a perder mis dientes. Lo que tengo es parecido a esta foto....

Mejores expertos últimos 100 días

Mejores expertos total

Suscríbete RSS