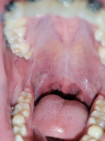
Alguien sabe a que se deba esto en mi boca?

¿Llevo días en los que mi boca a estado en muchos cambios a que se puede deber esto? Me siento preocupada
Respuesta de Cruz Roja Española Servicio de Información de VIH
1