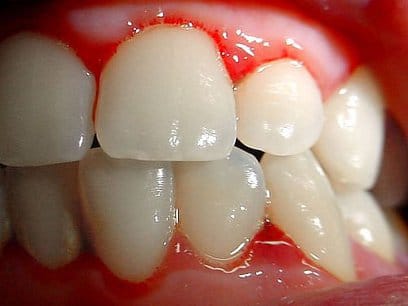
Ardor en la encía del colmillo y punta de la lengua
Lo que sucede es que si toco con cualquier cosa la encía del colmillo derecho específicamente en la parte del borde donde se une el diente y la encía me arde y si mantengo unos segundos me empieza a doler, esto lo note hace unos 2-3 días, mientras me cepillaba los dientes me dolió bastante por lo que me revise y tenia una especie de herida estaba roja y con algo de sangre, no sangraba a montones, ni tampoco me a sangrado desde esa vez. Hoy desperté todo normal con el dolor de la encía como explicaba, pero a medida que avanzaba el día me empezó a molestar la punta de la lengua un ardor también pero más leve, más que doler esto molesta... Lo único que se me vino a la mente en ese momento fue que hace tiempo me paso algo similar en la lengua pero me había quemado por tomar algo muy caliente y la lengua la sentía así, pero en estos días no he tomado nada... Me dijeron que tomara agua con sal y note que me empezó a arder bastante la encía y la punta de la lengua, por lo que note que las cosas fuertes como limón, sal, mostaza aumentan esto pero para ser sincero no tengo idea de que podría ser. Tengo hora para el dentista pero es en unos 2 meses más y me preocupa todo esto, lo única posibilidad que también creo que pueda ser es que antes de que saliera todo esto, me alimente de comida chatarra varios días seguidos, podría ser una causa o no se.

