Pequeñas líneas blancas en el paladar duro, ¿Qué son?
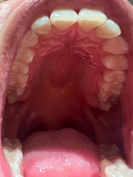
Tengo unas pequeñas líneas blancas en el paladar duro, en un inicio pensé que fuese por alguna quemadura a algo que comí, pero al acercarme me di cuenta que estaba blanco y no parece ser un afta solo es en una pequeña area del lado izquierdo del paladar duro, todo el resto del paladar está sano, no me duele ni arde en el área, se siente igual que el resto del paladar, tampoco he tenido malestar físico o fiebre. Hace unos días tuve una reacción alérgica por algo que comí, tomé loratadina y me sentí mejor, no sé si esté relacionado. Hace un mes también comencé a tomar vitaminas centrum para tener mejores defensas ante el frío de invierno. Me preocupa porque soy fumador, no en exceso pero sí desde hace algunos años. Hago ejercicio constante. ¿Qué podría ser? Anexo fotografías.


