Muela rota... ¿Necesita tratamiento de conducto?
Muchas gracias de antemano a todos los que se molesten en responder.
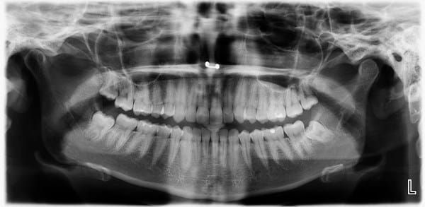
Mi problema es el siguiente. Mordiendo un caramelo muy duro se me rompió la primera muela del lado derecho (hace una semana). No es la gran cosa, sino sólo una esquina. Esa muela ya estaba agrietada y empastada, por lo visto se terminó de romper. Me duele por ejemplo al tomar agua, tengo sensibilidad en esa esquina rota pero nada más. Me dijeron que tengo que hacerme una endodoncia, pero tenía la idea de que eso sólo es necesario cuando el nervio está infectado o cuando el daño es muy grande. ¿Será realmente necesario o con un empaste se soluciona? Adjunto la imagen de una ortopantomografía que me hice ayer, allí se ve la muela rota y el nervio más inflamado de lo normal (comparado con las otras muelas).
Fui a dos odontólogos pero me dicen cosas distintas y no se en quien confiar... Agradecería cualquier tipo de ayuda o esclarecimiento. ¡Muchas gracias!
