Extracción cordal 4 días después de terminar antibiótico?
Quisiera saber, si es aconsejable hacer una extracción de un cordal con infección, tras haber terminado una caja de 30 comprimidos este pasado viernes. Según tengo entendido para estos tratamientos el antibiótico tiene que cogerte antes, durante y después de la extracción, pues si tengo todavía infección con seguridad tengan que ponerme antibiótico de nuevo.
¿No seria mas recomendable esperar una semana para luego volver a poner antibiótico?
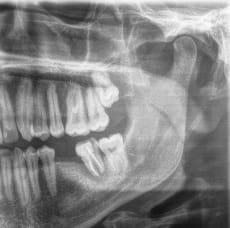
Adjunto orto.

1 Respuesta
Respuesta de Saludable ?