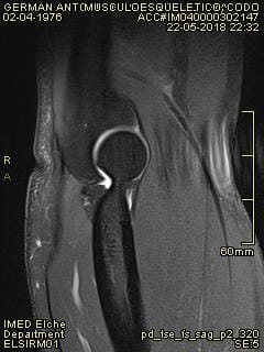
¿Quién me puede echar una mano con una resonancia magnética de tedon de bíceps en codo?
la mutua no se pone de acuerdo con el hospital y me tienen mareado, ¿alguien me echa una mano para saber lo que puedo tener en el codo? Dispongo de más fotos, pero no se cual indicar para que puedan ver algo. Muchas gracias de antemano

