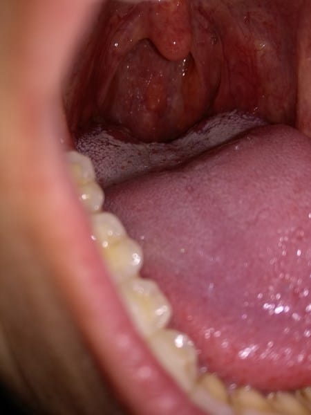
I. Hola Gemma, creo, según estoy leyendo, que podría tratarse de un cuadro de reflujo intestinal. (Acidez estomacal), La placa placa de color blanquecino por lo visto es conocida como 'saburra'.


Un doctor online comentó lo siguiente:
"**SABURRA " Ese es el nombre de la capa blanca que cubre la zona posterior de tu lengua, es frecuente que sea abundante y gruesa en pacientes con reflujo gastroesofágico. Una de las formas de disminuirla es llevando una dieta sana sin excesos de grasas ni frituras, no comer nada dos horas antes de acostarse, evitar los aderezos como Ketchup y Mayo. Las infusiones de manzanilla caliente después de almuerzo son beneficiosas en resumen, dieta sana sin excesos de grasas, frituras y fibras como la de la cebolla o el ollejo de las legumbres, realizar deportes que fortalecen tu musculatura abdominal, tratar que los alimentos tengan una constitución más pastosa que liquida.**
En ignorancia pienso que podrías solicitar un cultivo de la zona (muestra de tejido), en el médico de cabecera o especialista habitual, de esta forma se analiza un trocito de la placa para averiguar si existe una infección y de qué tipo. Creo que aquí podemos ver más información. Mucho ánimo.
http://blogsaludinfo.blogspot.com.es/2012/06/lengua-saburral-tratamiento-y.html
hola soy angie tengo lo mismo de ella y he tomado mucho antibiotico y nada esas placas en la glandula derecha ya me hicieron examenes y negativos me van a repetir un examen pero se que va salir bien - Angely Rico
I.Hola Angie, lamento la situación, ojalá todo marche bien y encuentren pronto el motivo.Por desgracia en mi caso no sé qué mas podría comentar al margen de lo que expuse a la compañera, solicitar un cultivo/biopsia de la zona (muestra de tejido) es lo único que se me ocurre. - david ..
Si los examenes no arrojan información concreta puedo tratar de investigar más a fondo... si bien no encontré nada más la anterior vez. Muchísimo ánimo. - david ..