Problemas tras endodoncia y extracción
Quisiera pedirle ayuda para la interpretación de unas imágenes, dado que dos maxilofaciales me han dado interpretaciones diferentes y estoy algo confusa.
En abril de 2012 y debido a una pulpitis, me realizaron una endodoncia, y llevo desde entonces con dolor en la parte superior de la encía, y episodios de febrícula y sudores nocturnos. El internista me hizo pruebas de todo, y no apareció el problema.
Hace 6 meses extraje la muela (primer molar superior izq). Pero el problema persiste.
La fiebre y los sudores coinciden con los picos de dolor mandibular, y pinchazos en el paladar, y la semana pasada me salió en el paladar una pequeña lesión, en esa zona.
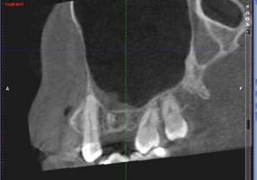
Esta semana me hicieron un tac, porque en la orto y en la radiografía periapical no salía nada. Le adjunto imágenes del mismo, y le agradecería enormemente su opinión.
>
>
>
>
