toniust

toniust

 España @toniust desde - visto
Preguntar

Preguntas

Pregunta en

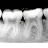
Sacar o no sacar muela

Me molestaban los dientes al comer cosas dulces como chocolate blanco y al mirarme me vi un agujerito en una muela. En el dentista me hicieron radiografía y me dijeron que tenia la muela picada y la del juicio de arriba también, me toco con el pincho...

1 preguntas no visibles

Suscríbete RSS