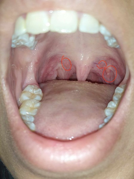
Alguien sabe que son? :0 se ven como granitos

Me salieron hace poco, pero no se que son :0 se ven medio rojas pero las acabo de notar

1 respuesta

Respuesta

I. Hola Lau, en mi caso no soy experto sin embargo una experta y cirujana de esta comunidad aportó el siguiente diagnóstico que deseaba trasladarle,

https://www.todoexpertos.com/preguntas/9q8vcdmkvk5rr9tr/tengo-una-bolita-en-el-paladar-duro-de-la-boca-podrian-darme-una-respuesta-de-que-podria-ser

Desde la ignorancia opino que podría tratarse de una amigdalitis bacteriana y, sobre todo diría que se asemeja a alguna clase de calculo amigdalino, ("semi plano" en su caso), que no reviste en principio ningún riesgo o problema. Aquí podría ver si lo desea su aspecto y un poco de información,

https://newsnetwork.mayoclinic.org/discussion/medidas-de-autocuidado-pueden-ayudar-a-prevenir-los-calculos-amigdalinos/ 

Si existiera una probabilidad de que se trate de un absceso en la parte posterior de la garganta, es necesario de preferencia acudir a un médico (de cabecera o especialista familiar), porque un absceso periamigdalino que no se reduce por sí mismo y se deja sin tratar puede evolucionar dando lugar a posibles complicaciones siempre poniéndonos en un escenario negativo, creo que en principio, en caso de no remitir la inflamación por sí sóla, es preferible no arriesgar.

http://medsaludin.es/absceso-periamigdalino-sintomas-tratamiento-foto.html

https://es.wikipedia.org/wiki/Absceso_periamigdalino 

Por otro lado, un Eritema gingival lineal en fase inicial o un comienzo de gingivítis también podría ser osible, pero sin duda debe atenderle un profesional,

https://fabianvillena.cl/blog/lesiones-elementales-mucosa-oral/eritema-gingival/ 

https://clinicalinfo.hiv.gov/es/glossary/eritema-gingival-lineal 

Si fuese necesario quisiera ofrecerme para trasladar su consulta a un experto en caso de no llegar respuestas durante el fin de semana, y también trasladarle un poco más de la escasa información que conozco. Le ruego me disculpe las molestias e imprecisión, mucho ánimo.

https://www.todoexpertos.com/preguntas/8y4le8sa6u494ve6/infeccion-en-la-garganta-o-algo-mas-grave

Añade tu respuesta

Haz clic para o

Más respuestas relacionadas